Verbesserung des Lächelns (kosmetische Zahnheilkunde)
Wir schaffen ein schönes Lächeln durch moderne ästhetische Zahnheilkunde.
Weiße Füllungen Composite-Füllungen
Weiße Füllungen können verwendet werden, um von Karies befallene Zähne wiederherzustellen oder aus ästhetischen Gründen Silberfüllungen zu ersetzen. Der Hauptvorteil von weißen Füllungen ist kosmetischer Natur, viele Menschen sind jedoch auch besorgt über die Risiken des in Silberfüllungen enthaltenen Quecksilbers.
Ein potenzieller Nachteil ist, dass sie im Laufe der Zeit schrumpfen können, was zu Lücken führen kann. Wenn dies nicht überprüft wird, kann dies zu weiterer Karies führen.
Lassen Sie Ihre Amalgamfüllungen auf weiße Füllungen umstellen.
Mehrere verschiedene Metalle, einschließlich Quecksilber, werden miteinander vermischt, um eine dauerhafte Metallfüllung zu schaffen, die in eine Kavität gepackt und leicht an die normalen Zahnstrukturen angepasst werden kann. Sobald es ausgehärtet ist, kann eine Amalgamfüllung den Druck beim Kauen problemlos aushalten. Aus ästhetischen Gründen sind diese meist Backenzähnen wie Backenzähnen vorbehalten. Hier gab es jedoch viele Artikel in den Nachrichten über die angeblichen Gefahren von Quecksilber, das ein Hauptbestandteil einer Amalgamfüllung ist. Quecksilber allein kann zwar gesundheitsgefährdend sein, aber in Kombination mit anderen Metallen verändern sich die Eigenschaften und machen es unschädlich.
Kontaktieren Sie uns noch heute, um einen Termin für eine neue Füllung zu vereinbaren oder Ihre Quecksilberfüllungen durch sicherere, natürlich aussehende weiße Füllungen zu ersetzen.
Lassen Sie unser Team von kosmetischen Zahnärzten sich um Ihr Lächeln kümmern!
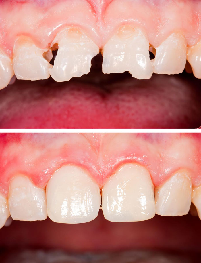
Zahnveneers
Zahnveneers sind maßgefertigte Schalen, die angepasst werden können, um kosmetische Zahnprobleme wie Verfärbungen, Absplitterungen und Risse sowie Ausrichtungsprobleme zu verbergen. Veneers stellen das natürliche Aussehen Ihres Lächelns wieder her.
Veneers werden entweder aus Porzellan oder Harz hergestellt. Porzellan-Veneers sind schmutzabweisender und sehen aufgrund ihrer lichtreflektierenden Eigenschaften eher wie natürliche Zähne aus. Kunstharz-Veneers hingegen sind dünner und können platziert werden, ohne dass so viel von der Zahnoberfläche entfernt werden muss.
Vereinbare einen Termin
Arbeitszeit
Saturday: Nur mit Termin. Bitte rufen Sie unser freundliches Team an oder buchen Sie online.
Sonntag: Geschlossen












