Zahnkronen
Zahnkronen stärken den vorhandenen Zahn und bilden die Form eines natürlichen Zahns nach
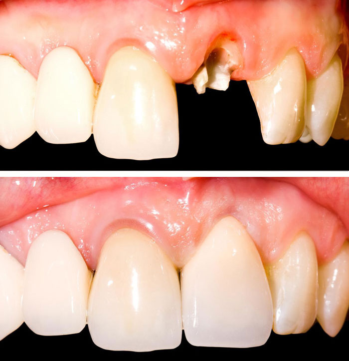
Eine Zahnkrone ist eine künstliche Zahnrestauration, die über den verbleibenden Teil eines natürlichen, aber gebrochenen Zahns passt.
Zahnkronen stärken den vorhandenen Zahn und bilden die Form eines natürlichen Zahns nach. Sie sind eine ideale Restauration für Zähne, die gebrochen oder durch Karies oder eine sehr große Füllung geschwächt sind.
Zahnbrücken
Eine Zahnbrücke wird eingesetzt, um einen oder mehrere fehlende Zähne zu ersetzen. Zahnbrücken bestehen normalerweise aus einer Edelmetallbasis, aber wenn die Brücke beim Lächeln sichtbar ist, wird Porzellan mit der Basis verbunden, um sicherzustellen, dass sie sich nahtlos in Ihre vorhandenen Zähne einfügt. Zahnbrücken können nach Zahnextraktionen empfohlen werden.
Vereinbare einen Termin
Arbeitszeit
Montag bis Freitag: 9.00 bis 18.00 Uhr (Donnerstag später Termin bis 19.00 Uhr möglich)
Saturday: Nur mit Termin. Bitte rufen Sie unser freundliches Team an oder buchen Sie online.
Sonntag: Geschlossen
Saturday: Nur mit Termin. Bitte rufen Sie unser freundliches Team an oder buchen Sie online.
Sonntag: Geschlossen













