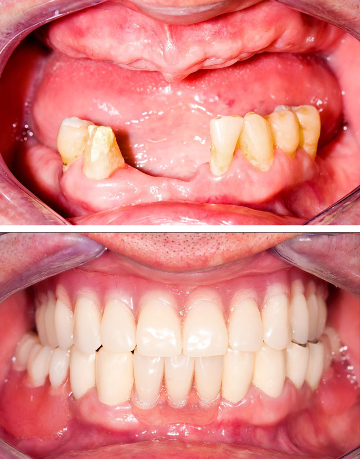
Zahnersatz
Zahnersatz sind herausnehmbare falsche Zähne, die verwendet werden, um fehlende Zähne zu ersetzen.
Es ist bekannt, dass fehlende Zähne Probleme beim Essen und/oder Sprechen verursachen, und daher sind partielle (ein einzelne oder eine kleine Anzahl fehlender Zähne) oder vollständige (ein ganzer Satz) praktische und effektive Lösungen für Patienten, die solche Schwierigkeiten haben.
Ein Patient mit Zahnersatz muss seinen Zahnarzt häufig aufsuchen, um sicherzustellen, dass die zahnärztliche Vorrichtung ihre Wirksamkeit und Funktion über die Zeit beibehält. Im Highclere Dental Centre erstellen wir einen Behandlungs- und Nachsorgeplan, der auf dem langfristigen Erfolg Ihrer Zähne basiert.
Wurzelbehandlung
Der Deutschland Zahnarzt bietet eine Wurzelkanalbehandlung an, um Zahnverlust zu vermeiden, wenn sich ein Zahnnerv entzündet. Eine Infektion tritt am häufigsten als Folge von Karies, Verletzungen oder einem Leck/Bruch in einer vorhandenen Füllung auf.
Vereinbare einen Termin
Arbeitszeit
Saturday: Nur mit Termin. Bitte rufen Sie unser freundliches Team an oder buchen Sie online.
Sonntag: Geschlossen













